วันที่ 19 พฤษภาคม 2568 เวลา 10:18 น.
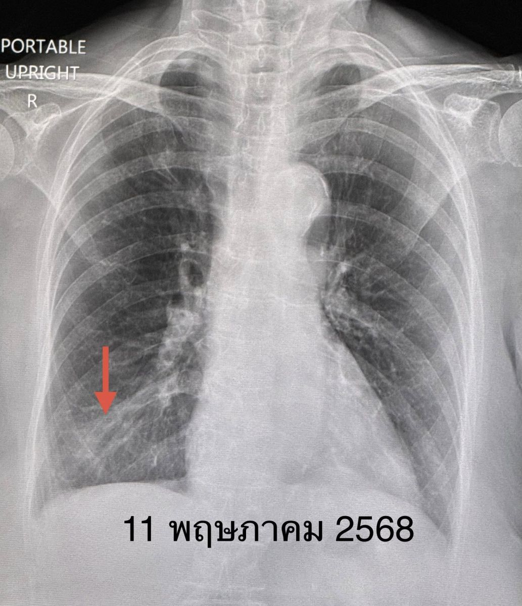
วันที่ 19 พฤษภาคม 2568 นพ.มนูญ ลีเชวงวงศ์ แพทย์ทางด้านโรคระบบทางเดินหายใจ โพสต์เฟสบุ๊ก ระบุ ผู้ป่วยหญิงอายุ 86 ปี มีไข้สูง ปวดตัว ไอเล็กน้อย มีน้ำมูก เจ็บคอ 1 วัน ไม่เหนื่อย ไม่เคยติดโควิด เคยฉีดวัคซีนป้องกันโควิด 4 เข็ม ปกติแข็งแรงดี เป็นโรคความดัน ไขมันสูง เข้านอนโรงพยาบาลวันที่ 11 พฤษภาคม 2568 ตรวจร่างกาย อุณหภูมิ 39 องศาเซลเซียส ระดับออกซิเจนที่ปลายนิ้ว 95% ฟังปอดปกติ เอกซเรย์ปอดเห็นฝ้าขาวเล็กน้อยที่ปอดข้างขวาด้านล่าง (ดูรูป) แยงจมูกตรวจพบเชื้อไวรัสโควิด-19 ไม่พบไวรัสทางเดินหายใจตัวอื่น
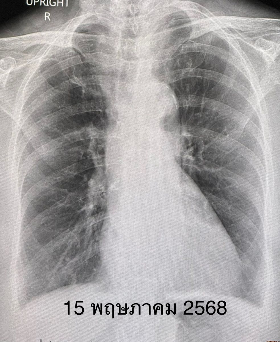
วินิจฉัย : ปอดอักเสบเล็กน้อยจากโรคโควิด-19 ให้ยาต้านไวรัส เรมเดซิเวียร์ (Remdesivir) ฉีดเข้าทางหลอดเลือดดำ ไข้สูงลอย 3 วันแรก หลังได้ยาเรมเดซิเวียร์ 3 วัน ไข้เริ่มลงและเอกซเรย์ปอดเริ่มดีขึ้น ให้ยาฉีดต่อจนครบ 5 วัน ไม่มีไข้ ไอดีขึ้นมาก เอกซเรย์ปอดอักเสบหายเป็นปกติ (ดูรูป) กลับบ้านได้ในเวลา 5 วัน
ในปัจจุบันคนติดเชื้อโควิด-19 ส่วนใหญ่มีอาการน้อยเหมือนหวัดธรรมดา ไม่ต้องกินยาต้านไวรัสก็หายเองได้ แต่ก็มีบางคนที่เชื้อไวรัสโควิด-19 ลงปอดได้ แต่ไม่หนักเหมือนกับการระบาดรอบแรกๆ อย่างในผู้ป่วยรายนี้มีไข้สูง มีปอดอักเสบเล็กน้อย ไม่เหนื่อย ไม่ต้องให้ออกซิเจน ตอบสนองดีมากต่อยาต้านไวรัสเรมเดซิเวียร์ ปอดอักเสบหายเป็นปกติภายในเวลา 5 วัน
คนกลุ่มเสี่ยงติดเชื้อไวรัสโควิด-19 ที่ไอ และมีไข้สูงลอย ควรปรึกษาแพทย์และทำเอกซเรย์ปอด


9 มีนาคม. 2569
9 มีนาคม. 2569