วันที่ 29 เมษายน 2568 เวลา 13:32 น.
วันนี้ (29 เม.ย.68) เพจเฟซบุ๊ก หมอมนูญ ลีเชวงวงศ์ FC ได้ออกมาโพสต์ยกเคสคนไข้หญิงอายุ 63 ปี ที่มีอาการเริ่มไอแห้งๆเล็กน้อย และรู้สึกเหนื่อยมากๆจนลุกขึ้นยืนไม่ได้ ด้วยสาเหตุว่าเนื้อเยื่อปอดอักเสบ ซึ่งคุณหมอได้ระบุข้อความเพิ่มเติมว่า
ผู้ป่วยหญิงอายุ 63 ปี เป็นโรคเบาหวาน ปกติแข็งแรงดี ไม่สูบบุหรี่ และเคยติดโควิดมาแล้ว 2 ครั้ง จนเริ่มไอแห้งๆเล็กน้อย และมีอาการเหนื่อยมาตั้งแต่วันที่ 6 มี.ค.68
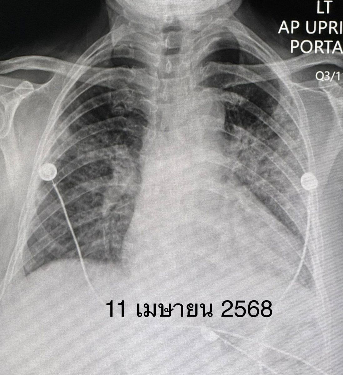
จนเริ่มเข้าโรงพยาบาลใกล้บ้านวันที่ 16 มี.ค.68 เพราะเหนื่อยมากขึ้นจนลุกขึ้นยืนไม่ได้ ไม่มีไข้ ผิวหนังปกติ กล้ามเนื้อไม่อ่อนแรง แต่ระดับออกซิเจนที่ปลายนิ้วต่ำมาก จนต้องให้ออกซิเจนชนิดอัตราการไหลสูงทางจมูก High-Flow nasal O2 cannula เจาะเลือด พบเลือดจางเล็กน้อย ค่าอักเสบในเลือด ESR และ hs-CRP สูง, ANA ปกติ ค่าโซเดียมในเลือดต่ำ เอกซเรย์ปอดและคอมพิวเตอร์ปอดพบปอดอักเสบทั้ง 2 ข้าง แยงจมูก ส่งเลือดเพาะเชื้อ ส่องกล้องเข้าไปในหลอดลม ไม่พบการติดเชื้อแบคทีเรีย ไวรัส เชื้อรา หรือวัณโรค ได้ยาปฏิชีวนะ เอกซเรย์ปอดไม่ดีขึ้น หลังรักษารพ.ใกล้บ้านมา 26 วัน ญาติขอย้ายมารักษาต่อวันที่ 11 เม.ย.68
วันที่ย้ายมา หลังจากซักประวัติ ตรวจร่างกาย และทบทวนประวัติเดิม ก็ทำให้คิดถึงโรคภูมิต้านทานตนเอง (Autoimmune Diseases) ทำให้เกิดโรคเนื้อเยื่อปอดอักเสบ หรือ Interstitial lung disease (ILD) มากที่สุด ส่งเลือดตรวจพบ Anti MDA5 และ Anti-Ro52 บวก ค่า Ferritin สูง ค่า CPK ของกล้ามเนื้อปกติ ค่าเอนไซม์ของตับสูงเล็กน้อย ค่าไตปกติ ระดับโซเดียมในเลือดต่ำเกิดจาก Syndrome of inappropriate ADH
สรุปแล้วผู้ป่วยรายนี้เป็นโรคภูมิต้านทานตัวเองชนิด Anti-MDA5 antibody positive dermatomyositis ทำให้เนื้อเยื่อปอดอักเสบ และปอดเกิดพังผืดอย่างรวดเร็ว ไม่มีกล้ามเนื้ออ่อนแรง ไม่มีความผิดปกติของผิวหนัง ให้ยาสเตียรอยด์ชนิดฉีดขนาดสูง ต่อมาเปลี่ยนเป็นชนิดกิน ยากดภูมิคุ้มกันไมโคฟีโนเลต ยาไฮดรอกซีคลอโรควิน และยา Tolvaptan รักษาโรคโซเดียมในเลือดต่ำ
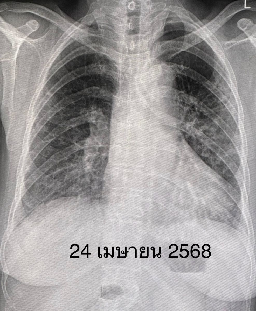
ทั้งนี้คนไข้คนดังกล่าวมีความเหนื่อยน้อยลง ระดับออกซิเจนที่ปลายนิ้วดีขึ้น ใช้ออกซิเจนแบบหนวดกุ้งธรรมดาทางจมูก ไม่ต้องใช้ High-Flow nasal O2 cannula เอกซเรย์ปอดดีขึ้นช้าๆ ลุกขึ้นเดินได้ ระดับโซเดียมในเลือดเกือบปกติ กลับบ้านได้หลังจากอยู่รพ. 15 วัน แต่ยังต้องมีการนัดติดตามคนไข้ต่อไป”
สำหรับเคสดังกล่าวเองก็ทำให้เห็นแล้วว่า ต่อให้ภายนอกจะดูแข็งแรงมากขนาดไหน ก็ยังสามารถป่วยได้ เพราะฉะนั้นอย่าชะล่าใจโดยเด็ดขาด หมั่นตรวจสุขภาพได้ก็จะดีมาก และขอให้ทุกคนสุขภาพดี
ขอบคุณข้อมูลจาก เพจเฟซบุ๊ก หมอมนูญ ลีเชวงวงศ์ FC




9 มีนาคม. 2569
9 มีนาคม. 2569