วันที่ 11 มีนาคม. 2567 เวลา 10:12 น.
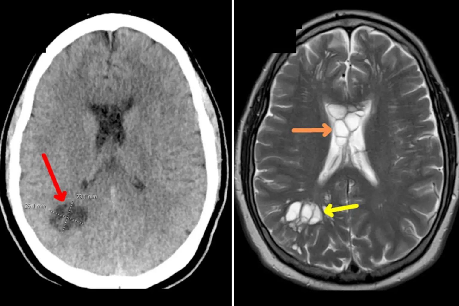
11 มีนาคม 2567 นิวยอร์กโพสต์ รายงาน กรณีชายชาวออร์แลนโดจากรัฐฟลอริดาวัย 52 ปี ที่คิดว่ากำลังป่วยเป็นโรคไมเกรนขั้นรุนแรง ที่จริงแล้วกำลังต่อสู้กับพยาธิตัวตืดในสมอง วารสารกรณีทางการแพทย์อเมริกัน รายงาน ผู้ป่วยนิรนามรายนี้ได้ไปพบแพทย์หลังจากอาการปวดหัวเรื้อรังนานร่วมสัปดาห์ในตลอดระยะเวลาสี่เดือน ผลการสแกนเผยให้เห็น ซีสต์ในสมองทั้งสองซีกของเขา เช่นเดียวกับอาการบวม ซึ่งผู้เชี่ยวชาญด้านโรคติดเชื้อยืนยันว่าเป็นผลมาจากพยาธิตืดหมูที่วางไข่ในสมองของเขา และระคายเคืองเนื้อเยื่อใต้กะโหลกศีรษะ
ดังนั้น ผู้ป่วยได้รับการวินิจฉัยว่าติดเชื้อปรสิต Neurocysticercosis ซึ่งเป็นศัพท์ทางวิทยาศาสตร์สำหรับปรสิตที่วางไข่ จนกลายเป็นลักษณะก้อนคล้ายซีสต์ที่ประกอบด้วยปรสิตระยะยังไม่เจริญเต็มที่ของพยาธิตัวตืด ซึ่งแพร่เชื้อไปยังส่วนต่าง ๆ ของร่างกาย ทำให้เกิดการอักเสบ
แพทย์สันนิษฐานว่า พยาธิตืดหมูมาจากการกินเบคอนที่ไม่สุก หลังจากที่ผู้ป่วยเล่าประวัติการทานอาหารก่อนหน้าให้ฟังว่า "ความชอบของเขาในการกินเบคอนแบบนิ่มจนอาจนำไปสู่กรณีการบริโภคเบคอนที่ปรุงไม่สุก"
ทั้งนี้ แพทย์ผู้เชี่ยวชาญกล่าวว่า "ความชอบกินเบคอนเนื้อนุ่มตลอดชีวิต" ของแต่ละคนไม่ใช่สาเหตุเดียวที่ทำให้เกิดอาการป่วยที่แปลกประหลาด แต่เป็นเพราะอาหารเช้าจานโปรดปรุงไม่สุกจนทำให้ชายคนนั้นมีความเสี่ยงเป็นพิเศษ
ล่าสุด ผู้ป่วยได้รับการรักษาด้วยยาถ่ายพยาธิ ซึ่งทำให้อาการดีขึ้นหลังจากผ่านไปสองสัปดาห์ จากข้อมูลของ CDC หากบุคคลที่ได้รับผลกระทบไม่ล้างมือให้สะอาดหลังจากการขับถ่าย พวกเขาสามารถแพร่ไข่ไปยังสมาชิกคนอื่น ๆ ในครัวเรือนได้โดยเฉพาะผ่านทางอาหาร
ที่มา : www.cdc.gov และ tapeworm


